AVANT APRES DOCTEUR SCHAEFER
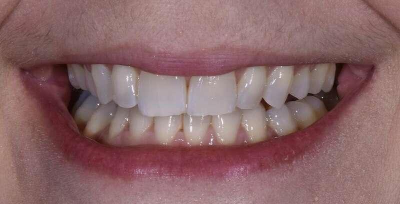
Les facettes en céramique permettent de corriger des problèmes d'aspect de couleur de forme et de positionnement d'une dent pour améliorer le sourire.
Avant toute chose il faut effectuer un bilan complet et une analyse esthétique de votre sourire
